Y Học 360

Vì sao bọc răng sứ hay bị viêm nướu?

admin

Tháng 4 24, 2026

Vì sao bọc răng sứ hay bị viêm nướu?
Nội dung
  • Các nguyên nhân phổ biến khiến bọc răng sứ gây viêm nướu
  • Nếu không can thiệp sớm, viêm nướu ảnh hưởng thế nào?
  • Cách điều trị viêm nướu khi bọc răng sứ
  • Phòng và hạn chế viêm nướu khi bọc răng sứ

Bọc răng sứ là phương pháp thẩm mỹ và phục hồi răng phổ biến hiện nay. Tuy nhiên, nhiều người sau khi bọc răng sứ lại gặp tình trạng viêm lợi (viêm nướu), gây đau nhức và ảnh hưởng đến sức khỏe răng miệng.

Vậy nguyên nhân do đâu và cách xử lý như thế nào?

Các nguyên nhân phổ biến khiến bọc răng sứ gây viêm nướu

Xâm phạm “khoảng sinh học” của nướu. Bác sĩ mài răng quá sâu hoặc đặt mão sứ lấn sâu vào vùng bám dính giữa răng và nướu. Việc này khiến nướu bị chèn ép, liên tục bị kích ứng dẫn đến sưng đỏ, viêm nhiễm mãn tính, thậm chí gây tiêu xương hàm và rụng răng thật.

Răng sứ chế tác bị hở không ôm sát cùi răng thật hoặc bị cộm. Tạo ra các khe hở khiến thức ăn và mảng bám dễ dàng dắt vào, vi khuẩn tích tụ gây viêm lợi và mùi hôi miệng.

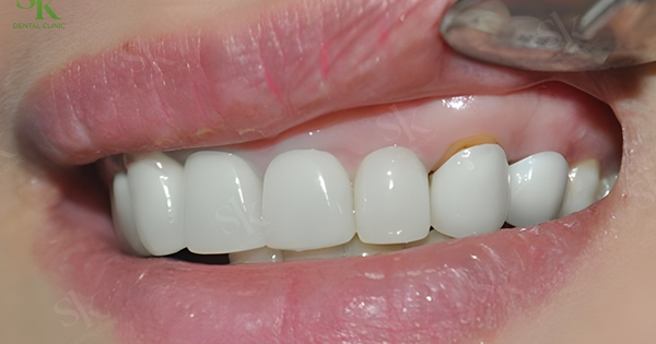
Bọc răng sứ bị viêm lợi (viêm nướu) thường xuất phát từ những sai sót trong kỹ thuật thực hiện hoặc thói quen chăm sóc sau khi bọc. Ảnh minh họa

Bọc răng sứ bị viêm lợi (viêm nướu) thường xuất phát từ những sai sót trong kỹ thuật thực hiện hoặc thói quen chăm sóc sau khi bọc. Ảnh minh họa

Xi măng nha khoa còn sót lại. Sau khi gắn răng sứ, nếu không làm sạch hoàn toàn lượng xi măng dư thừa ở viền nướu. Lớp xi măng khô cứng này sẽ trở thành vật thể lạ gây kích ứng nướu, tạo điều kiện cho vi khuẩn bám vào gây viêm.

Vệ sinh răng miệng kém, không làm sạch kỹ vùng chân răng sứ, cao răng hình thành tại viền lợi gây ra tình trạng viêm nhiễm tương tự như răng thật.

Chưa điều trị dứt điểm các bệnh lý trước đó. Các bệnh lý như viêm lợi, viêm quanh răng hoặc sâu răng chưa được xử lý triệt để đã tiến hành bọc sứ. Mầm mống vi khuẩn vẫn còn đó và bùng phát mạnh hơn sau khi có mão sứ che phủ.

Nếu không can thiệp sớm, viêm nướu ảnh hưởng thế nào?

Viêm nướu kéo dài có thể gây ra nhiều biến chứng:

  • Sưng đỏ, chảy máu nướu thường xuyên
  • Hôi miệng, ảnh hưởng giao tiếp
  • Tụt lợi, lộ chân răng
  • Viêm nha chu → tiêu xương hàm
  • Nguy cơ mất răng thật bên trong
  • Cách xử trí hôi miệng do bọc răng sứ

  • 8 mối nguy từ việc bọc răng sứ không đảm bảo chất lượng

Cách điều trị viêm nướu do bọc răng sứ

  • Làm sạch cao răng và vi khuẩn quanh mão sứ
  • Sử dụng thuốc kháng viêm, súc miệng theo chỉ định bác sĩ
  • Điều chỉnh hoặc thay lại mão sứ nếu bị sai kỹ thuật
  • Điều trị nha chu nếu viêm đã tiến triển nặng
Viêm nướu sau bọc răng sứ chủ yếu do kỹ thuật và chăm sóc không đúng cách.

Viêm nướu sau bọc răng sứ chủ yếu do kỹ thuật và chăm sóc không đúng cách.

Phòng và hạn chế viêm nướu khi bọc răng sứ

  • Lựa chọn cơ sở nha khoa uy tín, bác sĩ tay nghề cao.
  • Vệ sinh răng miệng đúng kỹ thuật: Dùng bàn chải lông mềm, chải răng nhẹ nhàng theo chiều dọc hoặc xoay tròn. Sử dụng máy tăm nước để làm sạch các kẽ răng sứ và dưới nhịp cầu răng mà bàn chải không chạm tới được. Dùng chỉ nha khoa thay thế tăm xỉa răng truyền thống để tránh làm tổn thương mô nướu và gây hở kẽ răng.
  • Hạn chế đồ ăn quá cứng hoặc quá dai.
  • Giảm đồ ngọt và tinh bột.
  • Tránh đồ ăn quá nóng hoặc quá lạnh.
  • Ưu tiên răng toàn sứ: Răng sứ không kim loại (như Zirconia, Cercon) có độ tương hợp sinh học cao, không bị oxy hóa hay gây kích ứng nướu như răng sứ kim loại.
  • Kiểm tra định kỳ: Lấy cao răng 6 tháng/lần. Kiểm tra độ khít sát để phát hiện sớm các dấu hiệu mão sứ bị lỏng, hở hoặc xi măng dư thừa để xử lý kịp thời trước khi gây viêm nặng.

Viêm nướu sau bọc răng sứ chủ yếu do kỹ thuật và chăm sóc không đúng cách. Việc lựa chọn nha khoa uy tín và duy trì vệ sinh răng miệng tốt sẽ giúp hạn chế tối đa biến chứng này.

Xem thêm video được quan tâm

Bộ sưu tập những giống gà ‘nhất thế giới’ của người đàn ông U60.